Zahnspange, Aligner, Kieferorthopädie, Zahnstellung-Korrekturen
Invisalign, ClearCorrect von Straumann
Es wird unterschieden zwischen Zahnspangen für Erwachsene und für Kinder und weiter zwischen festsitzenden und abnehmbaren, wobei man bei den Letzten weiter zwischen unsichtbaren (Invsiaglign, ClearCorrect u.a.) und Multiband-Apparaten unterscheidet.
Ästhetik
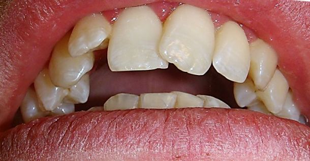
Im Erwachsenenalter ist die Ästhetik der Hauptgrund für Anfragen zur Zahnstellungskorrektur. Meist sind dies auseinanderstehende Frontzähne oder protrudierte Frontzähne. In diesen Fällen ist eine sorgfältige Untersuchung und Taschenmessung vorgängig nötig. Nicht selten sind plötzlich auftretende Zahnwanderungen in der Front mit einem Taschenbefund vergesellschaftet und eine Parodontitisbehandlung muss vorgängig oder gleichzeitig mit der kieferorthopädischen Behandlung (Zahnspangen-Therapie) ins Auge gefasst werden. Die Ästhetikeinbusse darf im jugendlichen Alter wie auch im fortgeschrittenen Alter nicht auf die leichte Schulter genommen werden.
Schämt man sich zu lachen, hat das Auswirkungen auf die Selbstsicherheit und das Selbstwertgefühl dies führt zur Schüchternheit und damit auch oft zur echten Benachteiligung und Behinderung im Privat- und Geschäftsleben.

Zahnspangen für Erwachsene
1. Invisalign - abnehmbare (fast) unsichtbare Zahnspange
2. abnehmbare Drahtspange
3. festsitzende Multiband-Apparatur, Zahnspange
4. Lingualtechnik, Brackets aus Porzellan und Kunststoff
1. Invisalign – abnehmbare (fast) unsichtbare Zahnkorrektur

Invisalign Zahnspange (transparente Zahnspange)
Schöne regelmässige Zähne, ohne ästhetische Nachteile einer Drahtapparatur war jahrelang der Wunsch vieler Patienten. Die Invisalign-Zahnspangen erfüllen weitgehendst diese Ansprüche. Hierbei handelt es sich nicht um eine einzige Spange sondern um eine ganze Anzahl (Sequenz) von durchsichtigen individuell gefertigten dünnen Kunststoffschienen. Sie wird jeweils die ersten 2 Wochen lang getragen wird bevor sie durch die folgende ersetzt wird. Bei dieser Technik werden keine Drähte oder Klammern aus Metall verwendet. Die Bezeichnung Invisalign ist abgeleitet aus dem Englischen “invisible” (unsichtbar) und “align” ausrichten. Die Kunststoffschiene (Spange) heisst im Englischen “Aligner” darum spricht man manchmal auch über die Aligner-Therapie.

Funktionsweise von Invisalign
Da jeweils die nächste Schiene einer ganzen Sequenz von Schienen in Form jeweils abweichen üben sie einen Druck auf die Zähne aus und bewegen sie in die gewünschte Richtung. Da diese Bewegung sehr langsam vor sich geht - nur Bruchteile bis einige Millimeter im Jahr - hat der umgebende Zahnhalteapparat Zeit sich anzupassen bzw. umzugestalten. Nichtsdestoweniger ist der so umgestaltete Zahnhalteapparat nach der erfolgten Bewegung noch schwach und deshalb braucht es nach der Korrektur eine Haltephase (Retentionsphase) oder gar eine Überkorrektur damit ein mögliches Rezidiv (Rückschritt) abgefangen wird.



Vorteile
- Die Schienen sind durchsichtig – fast unsichtbar und deshalb ästhetischer als normale Zahnspangen.
- Sie sind herausnehmbar und deshalb kann das Essen und Trinken ohne Probleme vonstattengehen.
- Das Vorher – Nachher – Resultat kann im Computer simuliert werden, der Patient kann somit Wünsche anbringen und seine Zustimmung geben bevor die Bestellung in Auftrag gegeben wird.
- Aus diesem Grund ist auch die Mundhygiene (Zähneputzen) normal möglich, daher wird auch die Karies- und Zahnsteinbildung nicht zusätzlich gefördert im Unterschied zu festsitzenden Apparaturen.
- Weil sie herausnehmbar ist, ist auch das Putzen der Schiene leicht möglich.
- Da es sich um eine Sequenz von Schienen handelt, welche jeweils nur ca. 2 Wochen getragen werden, kommt es nicht zu einer tiefporigen Verschmutzung und Verfärbung durch Beläge.
Was kann korigiert werden?
Zahnstellungskorrektur mit Zahnspange Invisalign

Voraussetzungen
- Wie bereits erwähnt, müssen die Schienen 22 Stunden am Tag getragen werden ausser zum Essen und Trinken.
- Alle 2- 3 Wochen muss die eine Schiene durch die nächste Schiene der Schienenserie ausgewechselt werden.
- Einmal im Monat ist eine Nachkontrolle beim Zahnarzt nötig
Zuerst wird der Ist-Zustand festgehalten indem man Abdrücke macht und an Hand dieser die Modelle anfertigt. Danach wird mit Hilfe von speziellen Computerprogrammen das Behandlungsziel bzw. die gewünschte Zahnstellung dargestellt und zum Schluss werden alle Zahnverschiebungen vom Ist- bis zum Zielzustand in einzelne Schritte unterteilt. Je grösser die gewünschte Zahnstellungsveränderung ist desto mehr Schritte sind nötig. In der Regel geht man von 12 bis 24 (38) Schritten aus. Für diese Schritte werden dann ebenso viele Aligner (Schienen/ durchsichtige Zahnspange) produziert.
Jede dieser Schienen wird dann ca. 2 Wochen lang getragen bis die nächste Schiene bzw. der Zahnbewegungsschritt zum Zuge kommt. Damit werden die Zähne kontinuierlich durch den Druck der Schienen in die gewünschte Richtung bewegt bis der Zielzustand erreicht ist. Die Behandlung dauert je nach Grösse der gewünschten Zahnstellungsveränderung 6 bis 12 (18) Monate
Herstellung der transparenten Zahnspange (Aligners) Invisalign / ClearCorrect von Straumann, Dauer der Therapie
Behandlungsablauf mit Alignern /Invisalign/ ClearCorrect
- Nach einer sorgfältigen Untersuchung des Gebisses mit parodontaler Kontrolle (Taschentiefenmessung) werden auch Röntgenbilder angefertigt um sich zu vergewissern, dass nicht pathologische Veränderungen oder Entzündungen vorliegen.
- Der Zahnarzt nimmt Abdrücke und macht Fotos um den Anfangszustand festzuhalten.
- Ein Satz dieser Abdrücke wird via Email oder ev. physisch ins Hauptlabor gesandt.
- Die im Labor der ACC Zahnklinik eingescannten Abdrücke werden in den USA ausgewertet. Ein anderes Team des Labors plant dann am Computer die gewünschte Zahnkorrektur und die nötige Anzahl Schritte bzw. Schienen, welche zum Erreichen des Zieles notwendig sind.
- Der Zahnarzt der ACC Zahnklinik kontrolliert die Behandlungsplanung und macht nötigenfalls Nachkorrekturen des Ablaufs und des Behandlungsziels.
- Die Simulation des Behandlungsziels wird dem Patienten präsentiert, er kann Wünsche anbringen und sein Einverständnis für die Invisalign-Behandlung geben.
- Nun werden die Invisalign-Schienen in der geplanten Anzahl produziert, nummeriert und steril eingepackt.
- Jede dieser Schiene trägt der Patient ca. 2 Wochen. Bei der Kontrolle werden dem Patient jeweils 2-3 Schienen mitgegeben.
Nachteile
- Die Zahnschienen sind herausnehmbar, dies kann bei Zuwenig- oder Nichttragen dazu führen, dass die Behandlungsdauer sich verlängern kann.
- Die Schienen sollten 22 Stunden am Tag getragen werden um den erwünschten Therapieerfolg zeitplangemäss zu erreichen.
- Es können nicht alle Zahnkorrekturen behandelt werden. (Dies trifft ab einem bestimmten Grad auf die Drahtspangen zu, weil manchmal gewisse schwere Zahnstellungs-Abweichungen nur mit Kieferchirurgie korrigiert werden können.)
- Nach der Schienen-Therapie (Aligner-Therapie) folgt eine Retentionstherapie (Auch dieser Nachteil trifft auf die Drahtspangen zu).
- Am Anfang der Therapie kann es zum Lispeln kommen, weil der Patient gewisse Gewöhnungszeit bedarf.
- Die Kosten sind relativ hoch. Die privaten Krankenkassen zahlen an die Therapie einen Zuschuss (Empfehlenswert vorgängig eine entsprechende Abklärung bei der Krankenkasse zu machen).
Geschichtliches
Der Kieferorthopäde Kesling hatte im Jahre 1945 die Idee mit elastischen Apparaturen schrittweise die Zahnstellung zu korrigieren. Es entstanden verschiedene Methoden, welche sich die Kunststoffschienen-Technik zunutze machte. So entwickelten sich Methoden, bei welchen der Zahntechniker eine Sequenz zusammenstellt und die Zahnbewegungen simuliert. Auf dieser Basis werden die einzelnen Schienen hergestellt. Mit dem Aufkommen immer stärkerer Computer konnten Herstellungsprozesse, welche auf Computersimmulation basieren, entwickelt werden. Eine der meist verbreiteten Methoden ist das Invisalign-Verfahren. Diese Methode wurde durch die Firma Align Technology Inc. entwickelt und hatte im letzten Jahrzehnt Weltruhm erlangt.
Gründe für schlechte Zahnstellungskorrektur , Indikation für kieferorthodontische Behandlung mit Zahnspangen
-
Ästhetik
-
Störende Stellung der Zähne für Zunge und Wange (Funktionseinbusse)
-
Zahnengstand, welcher Karies und Parodontitis begünstigt
-
Sprachprobleme wegen schlechter Zahnstellung (Sprachfehler)
-
Kauleistung-Einbusse
-
Kiefergelenk-Überbelastung wegen schlechter Zahnstellung
Störende Stellung der Zähne für Zunge und Wange (Funktionseinbusse)
Die Zunge spielt bei der Entwicklung der Zahnstellung eine entscheidende Rolle. Zusammen mit der Wangen- und Lippenmuskulatur bildet die Zunge die Leitstruktur für die Stellung der Zähne. Stehen ein oder mehrere Zähne nicht auf der Ideallinie des Zahnbogens, stört sich die Zunge daran und der Patient geht vermehrt an diesen in die Mundhöhle vorstehenden Zahn. Beim Essen versucht dann die Zunge diesem auszuweichen, damit sie beim Zusammenbeissen selbst nicht verletzt wird. Dies führt zu einem Engegefühl und verminderter Funktion. Andererseits ist auch ein, nach aussen gegen die Wange hin stehender Zahn für die Wange störend. Die Wange verhält sich ähnlich wie die Zunge. Die Wangenmuskulatur wird darum bemüht sein, dass die Wange beim Beissen nicht verletzt wird (gebissen wird) und führt die Wange in eine ausweichende Stellung, was sich entsprechend in einer unvorteilhaften Mimik niederschlagen kann.
Zahnengstand welcher Karies und Parodontitis begünstigt
Von Natur aus stehen die Zähne in einem Bogen nebeneinander und berühren sich an den sogenannten Kontaktpunkten. Diese Kontakte lassen in der Regel keine Speisereste zwischen die Zähne eindringen. Falls doch ist die Zunge fähig diese zu entfernen oder werden spätestens beim Zähneputzen entfernt (vorausgesetzt das Zahnfleischniveau und das Alveolarknocheniveau nicht vermindert sind). Sind aber die Zähne verschachtelt, so wie in einem Engstandgebiss berühren sich die Zähne nicht mehr an Kontaktpunkten sondern bilden ganze Kontaktflächen. Dies hat zur Folge, dass sich die Speisereste zwischen den Zähnen verklemmen und weder der Zunge noch der Zahnbürste es gelingt, diese zu entfernen.
Dies führt zu Fäulnisvorgängen und wegen der Retention zu erleichterter Plaque- und Zahnsteinbildung, was wiederum Karies und Parodontitis begünstigt.
Sprachprobleme wegen schlechter Zahnstellung (Sprachfehler)
Gewisse Sprachlaute werden im Rachen und viel weiter vorne im Mund, mit Hilfe der Frontzähne gebildet. Gerade für Zischlaute sind die Frontzähne unabkömmlich. Falsch stehende Frontzähne können deshalb zu Sprachfehlern (Lispeln) führen. Die Fehlstellung der Frontzähne kann aber auch zur nassen Aussprache führen - Speichel kann nicht mehr durch die Frontzähne zurückgehalten werden und entweicht unkontrolliert aus dem Mund.
Gründe für Zahnfehlstellungen - Wieso habe ich eine schlechte Zahnstellung
Gut die Hälfte der Bevölkerung leidet im Kindesalter oder im Erwachsenenalter an einer mehr oder weniger schwerwiegenden Fehlstellung der Zähne. Die Fehlstellung der Zähne wird in der Fachsprache auch Dysgnathie bezeichnet. Einer der häufigsten Gründe im Kindesalter ist das berüchtigte Daumenlutschen, welches zum offenen Biss, multiplen Karies und damit zu Platzverlust führt. Der offene Biss wird auch auf das Erwachsenengebiss übertragen, wenn das Daumenlutschen nicht rechtzeitig abgewöhnt wird und dies hat schwere ästhetische Einbussen zu Folge.
Nebst der negativen Ästhetik führt der offene Biss aber auch zur Mundatmung, weil die Lippen nicht gut schliessen und dadurch kommt es auch vermehrt zu Atmungswege-Infektionen. Wegen der Mundatmung kommt es auch vermehrt zur Austrocknung der Mundhöhle und Begünstigung von Kariesbildung und Parodontitis.
2. abnehmbare Drahtspange

Abnehmbare Zahnspange bzw. Apparatur

Abnehmbare Zahnspange farbig

Abnehmbare Zahnspange
3. festsitzende Multiband-Apparatur, Zahnspange
Fest geklebte Zahnspangen nennt man Multibracket-Spangen oder Multiband-Spangen bzw. -Geräte. Wie auf den Bildern ersichtlich wird ein gebogener elastischer Drahtbogen an die Zähne mittels Halterungen, sogenannten Brackets, befestigt. Die Brackets bestehen aus Metall, Keramik oder gar Kunststoff. Der Drahtbogen wurde zuvor so geformt, dass er auf der Zielposition passiv anliegen würde. Dieser Drahtbogen wird auf die schief stehenden Zähne befestigt und führt diese in die gewünschte Position, weil er die Spannung ausübt.
Da die festsitzende Zahnspange, wie es das Wort sagt, vom Patient nicht entfernt werden kann, verbleibt sie 24 Stunden im Mund. Eine solche Behandlung dauert 2-3 Jahre und ist damit schneller abgeschlossen als die Behandlung mit abnehmbaren Drahtspangen.
Der Nachteil ist die oft unakzeptable Ästhetik, erschwerte Mundhygiene und erschwerte professionelle Zahnreinigung, was auch die Kariesgefahr erheblich erhöht.



4. Lingualtechnik, Brackets aus Porzellan und Kunststoff
Wegen der nachteiligen Ästhetik der Multibracket-Spangen wurden verschiedene Massnahmen unternommen um sie unsichtbar zu machen. Es wurden transparente bzw. zahnfarbene Brackets aus Keramik erfunden, welche die Ästhetik verbessern - den Drahtbogen aber nicht ersetzen konnten (siehe Bild). Ausserdem hat man versucht die Brackets unsichtbar auf die Rückseite der Zähne zu setzen.
Diese Methode nennt man Lingualtechnik. Sie hat aber den Nachteil, dass sie fast nur im Unterkiefer
angewendet werden kann oder nur in bestimmten Fällen im Oberkiefer, weil sich die Zähne dort treffen und Kontaktflächen bilden.
Um die Akzeptanz der Spangen weiter zu erhöhen wurden durchsichtige Schienen, sogenannte Aligner erfunden. Die bekanntesten fast unsichtbaren, transparenten Spangen sind die Invisalign Spangen (siehe dort).


061 833 80 00
Online Termin


